En Clínica Verbauvede ampliamos nuestros servicios incorporando la unidad de cirugía maxilofacial, bajo la dirección del Dr. Fernando Gómez, cirujano con más de 25 años de experiencia internacional en cirugía plástica, estética y maxilofacial. Su incorporación nos permite ofrecer soluciones quirúrgicas avanzadas para tratar alteraciones funcionales y estéticas del rostro, con resultados naturales y seguros.
Dr. Fernando Gómez
Solicita tu cita en clínica Verbauvede



















































El Dr. Fernando Gómez, licenciado en Medicina por la Universidade Nacional de Rosário y con homologación en España y Portugal, cuenta con una destacada trayectoria en centros de referencia como la Clínica Teknon de Barcelona y la Clínica da Face de Lisboa. Es miembro titular de reconocidas sociedades científicas en Argentina, España, Portugal y Estados Unidos, y actualmente forma parte del equipo médico de hospitales de primer nivel en Europa.
Su enfoque combina precisión quirúrgica, profundo conocimiento anatómico y una visión estética refinada, garantizando resultados naturales y personalizados.
Solicita tu consulta con el Dr. Fernando Gómez en nuestra clínica de Madrid.
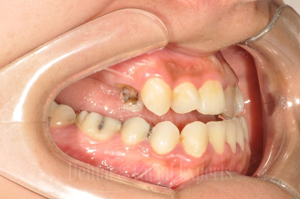
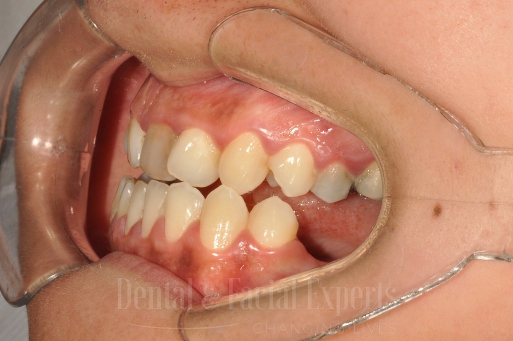
La cirugía maxilofacial es una especialidad médico-quirúrgica que aborda patologías, malformaciones y traumatismos de la cara, mandíbula, maxilares, boca y cuello. Su objetivo es restaurar la funcionalidad y mejorar la estética facial, abarcando procedimientos tanto reconstructivos como cosméticos.
La cirugía maxilofacial ofrece soluciones efectivas para casos seleccionados de apnea obstructiva del sueño que no responden a tratamientos convencionales como el CPAP. A través de técnicas de avance maxilomandibular y otras intervenciones específicas, es posible mejorar la vía aérea superior, reduciendo o eliminando los episodios de obstrucción durante el sueño. En Clínica Verbauvede, el Dr. Fernando Gómez realiza un estudio personalizado de cada paciente para valorar la indicación quirúrgica y ofrecer una alternativa curativa que mejora la calidad de vida, el descanso y la salud general.
La cirugía estética del esqueleto facial permite modificar de forma precisa la estructura ósea del rostro para lograr una armonía facial equilibrada y duradera. Mediante técnicas avanzadas, como osteotomías y remodelación de pómulos, mentón o mandíbula, es posible corregir desproporciones, mejorar el perfil facial y reforzar la simetría. En Clínica Verbauvede, el Dr. Fernando Gómez combina su experiencia en cirugía maxilofacial y estética para ofrecer resultados naturales, seguros y adaptados a las características de cada paciente.
